Surgeons led by an Indian-origin doctor have performed a double-lung transplant on a patient whose lungs were damaged by Covid-19, a surgery believed to be the first of its kind in the US since the pandemic began.
Northwestern Medicine in Chicago said the recipient is a Hispanic woman in her 20s.
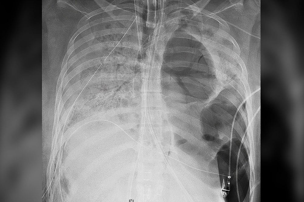
The patient spent six weeks in the COVID ICU on a ventilator and extracorporeal membrane oxygenation (ECMO), a life support machine that does the work of the heart and lungs, the hospital said.
By early June, the patient’s lungs showed irreversible damage. The lung transplant team listed her for a double-lung transplant, and 48 hours later, performed the life-saving procedure at the hospital.
"A lung transplant was her only chance for survival,” says Ankit Bharat, MD, chief of thoracic surgery and surgical director of the Northwestern Medicine Lung Transplant Program.
“We are one of the first health systems to successfully perform a lung transplant on a patient recovering from COVID-19. We want other transplant centers to know that while the transplant procedure in these patients is quite technically challenging, it can be done safely, and it offers the terminally ill COVID-19 patients another option for survival.
Before putting the patient on the transplant wait-list, she had to test negative for COVID-19.
“For many days, she was the sickest person in the COVID ICU – and possibly the entire hospital,” said Beth Malsin, MD, pulmonary and critical care specialist at Northwestern Memorial Hospital.
“One of the most exciting times was when the first coronavirus test came back negative and we had the first sign she may have cleared the virus to become eligible for a life-saving transplant," Malsin said.
“Due to the ability of Northwestern Medicine’s programme to support patients with life-threatening lung failure for extended durations, the patient could get adequate time to clear the virus from her body, allowing the consideration of transplantation,” said Bharat.
"This is one of the toughest transplants I've done," The Washington Post quoted Bharat as saying. "This was truly one of the most challenging cases." Meerut-born Bharat said.
Surgeons in Austria on May 26 performed the world's first known lung transplant to save the life of a COVID-19 survivor, a 45-year-old woman stricken with a severe form of the disease.
Bharat said he and others in his field are not aware of another organ transplant of any kind in the United States involving a recipient who had contracted the coronavirus.
The United Network for Organ Sharing, a nonprofit that coordinates transplantation in the United States, has no record of an organ transplant into a COVID-19 patient as of May 29, spokeswoman Anne Paschke said.
However, hospitals have two months from the date of surgery to report a transplant to the Richmond organisation, she said.
The median life of a double-lung transplant is about nine years before the organs must be replaced, but experts have seen transplanted lungs function much longer, Bharat said.






















