Advertisement
X

Chest X-Rays Fall Short In Detecting Silent Tuberculosis Cases, Says Study

Chest X-rays miss nearly half of asymptomatic TB cases, a study finds. Standard screening may vastly underestimate TB in high-burden nations, urging universal sputum tests for accurate detection.

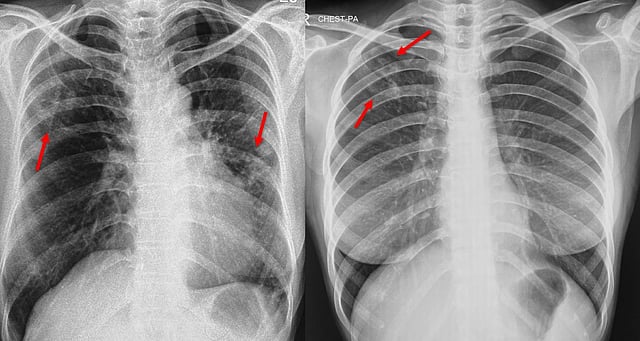
Despite being a cornerstone of tuberculosis (TB) detection for decades, chest X-rays may be missing a significant share of infections — particularly among individuals who show no symptoms — a new study published in The Lancet Global Health has revealed.

The research, led by scientists from the University of Cape Town, South Africa, found that nearly half of asymptomatic TB cases among household contacts of infected individuals were missed by standard chest radiographs. The findings raise questions over the adequacy of current screening tools used in high-burden countries, including India.

The study involved systematic screening and universal sputum microbiological testing of 979 household contacts of people with pulmonary tuberculosis across three South African communities. Researchers compared symptom-based and chest X-ray–based screening against microbiological reference tests to assess accuracy.

Pulmonary tuberculosis was confirmed in 5.2 per cent of the participants, of whom a striking 82.4 per cent reported no symptoms. Moreover, chest radiographs failed to detect 40 per cent of these confirmed infections.

“More than 80 per cent of confirmed TB cases among household contacts were asymptomatic, and chest radiograph screening missed over 40 per cent of these,” said Dr. Simon C Mendelsohn, corresponding author and researcher at the South African Tuberculosis Vaccine Initiative, University of Cape Town.

He added that community prevalence surveys relying on symptoms or X-rays “might substantially underestimate the prevalence of asymptomatic tuberculosis in endemic countries.”

According to the World Health Organization (WHO), an estimated 2.7 million people — or 25 per cent of the global total of 10.8 million TB cases in 2023 — went undiagnosed or untreated. A significant proportion of these so-called “missing millions” are believed to be asymptomatic.

“More than half of all tuberculosis detected in community surveys has been classified as asymptomatic — occurring in people who do not recognise or report classic TB symptoms such as cough, fever, night sweats, or weight loss,” the paper noted.

The study also found that asymptomatic TB cases were characterised by low bacterial loads and low serum C-reactive protein levels, making them indistinguishable from healthy individuals through standard tests.

The sensitivity of chest radiographs for detecting asymptomatic tuberculosis stood at 56.1 per cent, while combining symptom-based and X-ray screening raised overall sensitivity to just 64 per cent — well below the WHO’s target of 90 per cent sensitivity and 70 per cent specificity for an effective screening test.

Advertisement

“Our findings suggest that symptom-based and chest radiograph-based approaches are inadequate for community-level TB screening,” Dr. Mendelsohn said. “National prevalence surveys that omit universal sputum testing may substantially underestimate the true burden of asymptomatic tuberculosis in high-burden countries.”

Published At:
US