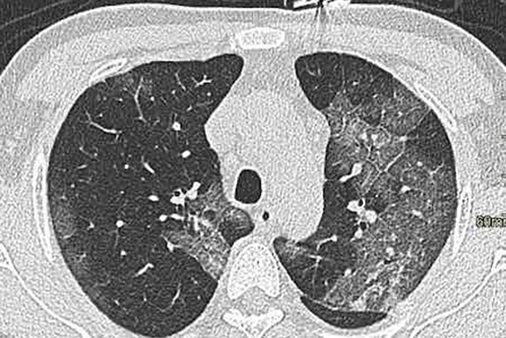
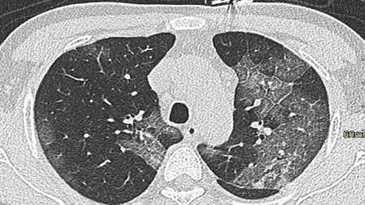
You know by now that the coronavirus doesn’t merely attack your lungs. But how does the presence of a whole axis of co-morbidities amplify the dangers? Here’s the science.
You know by now that the coronavirus doesn’t merely attack your lungs. But how does the presence of a whole axis of co-morbidities amplify the dangers? Here’s the science.
BY Anirban Mitra 19 March 2021
Azad Hind was not India’s first provisional government. The credit for establishing that – formally known as the ''Hukumat-i-Moktar-i-Hind" – in Kabul on 1st Dec, 1915, goes to Raja Mahendra Pratap and Maulana Barkatullah.
BY Anirban Mitra 26 October 2018
Advertisement
Newsletter
Signup for Outlook and get curated content to your inbox everyday.
Advertisement



